料金表(PDFファイル)
・料金表〜前歯〜
・料金表〜臼歯〜
・料金表〜義歯〜
・料金表〜その他〜
一部症例
当医院での治療の一部を紹介します。
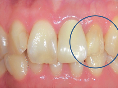
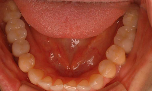
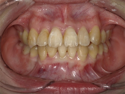
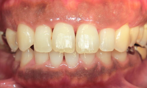
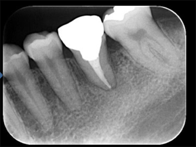
虫歯治療
虫歯により歯が崩壊したケースも歯肉の状態と共に改善致します。
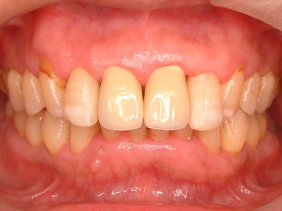
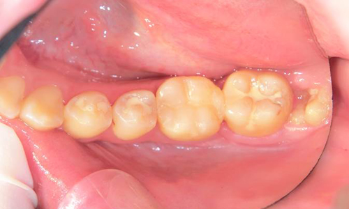
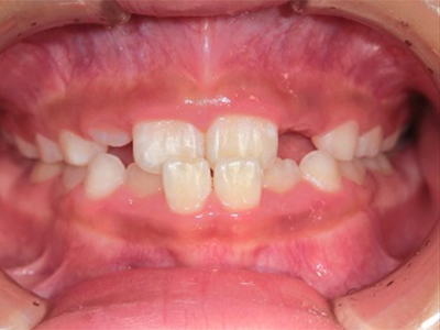
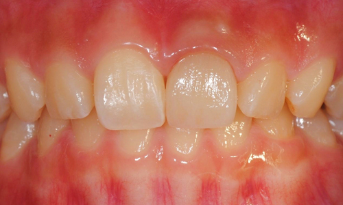
虫歯治療2
出血は研磨時によるもので綺麗な歯茎に戻ります
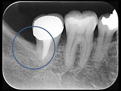
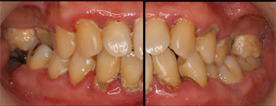
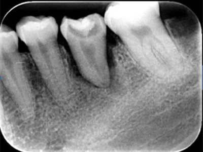
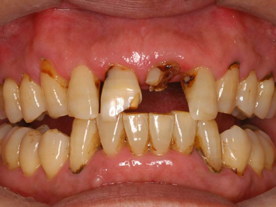
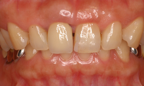
歯周治療
目に見える歯石、歯肉の中に隠れている歯石を徹底的にとると綺麗になり口臭もなくなります。
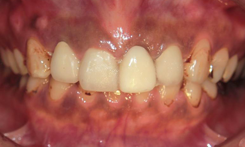
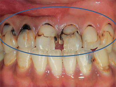
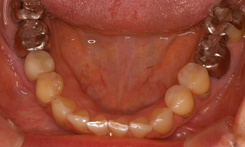
歯周治療2
再生療法で骨を再生させます(適応範囲あり)
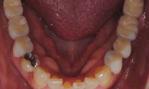
入れ歯治療
歯にかける金具色が気になる、入れ歯が外れやすい、違和感のない入れ歯がほしいなど、ご要望をお聞かせください。入れ歯には紹介出来ない程様々なタイプがありますのでご自分のお口にあった入れ歯を紹介させていただきます。ここでは一部の義歯を紹介します。
 |
 |
 |
|
 |
 |
 |
|
 |
|
当医院では様々な入れ歯を扱っております。 是非お困りの方は相談だけでも結構ですので、 お申し下さい! |
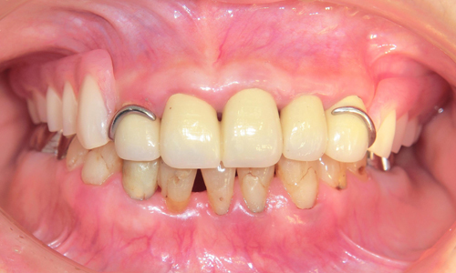
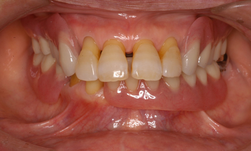
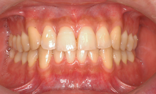
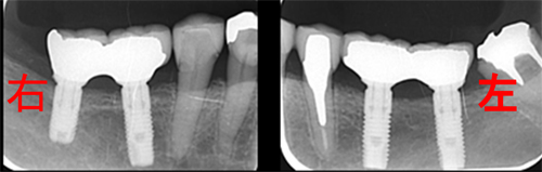
インプラント治療
歯を削ったりせず、機能性、審美性など人工歯根を利用し自然な状態に改善できます。
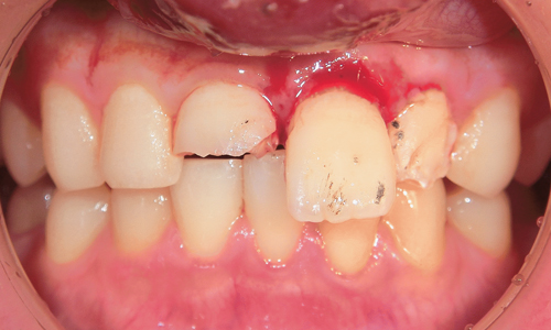
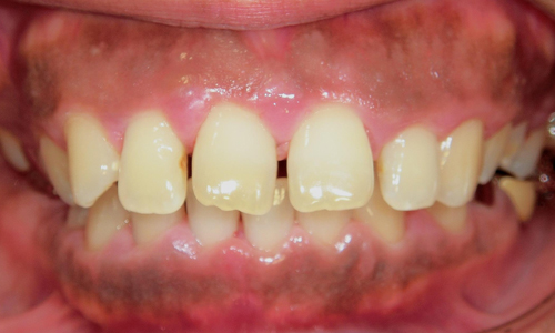
外傷治療
脱臼した歯や大きく欠けた歯など審美的に修復致します。
移植治療
保存不可能な歯を抜歯し、そこに機能していない歯を移植し機能回復させます。
移植治療2
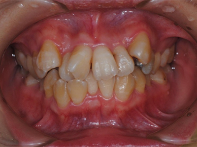
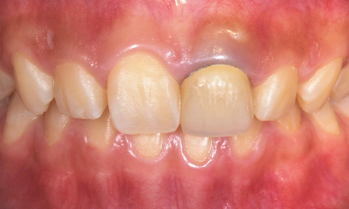
プチ矯正治療
少し歯並びが気になり、金額も時間も手軽に気になる所だけ治したいという方はご相談ください。本格矯正の約1/10〜1/8の費用で対応致します。
症例によっては信頼できる矯正専門医を紹介致しております。
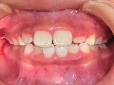
部分矯正
全顎矯正
審美治療
人前で口元が気になる方、銀歯を白くしたい方などのご要望に応じた治療オプションをご用意しております。
ホワイトニング
歯の黄ばみをご自宅で、ご自分で歯科専用の漂白薬を扱っていただき白くします。
ウォーキングブリーチ
歯を削って被せ物をするのではなく、気になる部位のポイント漂白を行います。
歯肉の漂白
タバコなどの影響により黒ずんだ歯肉を健康的なピンク色に戻します。