医院理念・診療方針
歯科医療を通じて患者様にQOL(生活の質)の高い、幸福な人生を歩んでいただく事をサポート致します。
又、患者様と共に「感動」と「感謝」の気持ちを共有できるように地域に貢献し、健康を守り育てる診療室を目指します。
当医院の治療方針
・患者様の立場になり十分な説明を解りやすく行ったうえで治療を行います
・できる限り歯を抜かず、削らず、予防を治療の中心に置き、患者様と歯にとって優しい治療を心がけます。
・院内の環境を整備し、知識、技術の習得に努め、安全、安心かつ最適、最良の医療を提供できるように努力致します。
・地域密着型であり続ける為に皆様に信頼される医院づくりを目指します。
当医院の特色
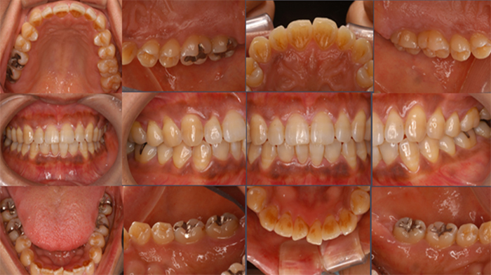
【口腔内写真撮影】

当医院では自分で見ることの出来ないお口の中を鮮明にみて、説明、理解、比較して頂く為に患者様の初診時のお口の中の状態を歯科用カメラで撮影しております。
モニターで客観的に見て頂く事により、わかりやすく、疑問に思う点などは納得いくまで回答、説明させて頂いております。これが当院の特色です。
その他、治療計画、治療後の比較などにも役立てております。
レントゲン同様、口腔内写真も以前のお口がどの様な状態であったのかを永続的に保存できますのでいつでもご本人に提示できるシステムを整え、長期的にアドバイスできる体制を確立しております。
もちろんご希望されない方はおっしゃって下さい。当院は患者様のご要望を大切に考えております。
※院内の状況やお口の中の状態などによっては当日撮影しない場合もございます。
【トリニティコアとトリニティアニメソフト導入】
全ての診療台に液晶モニターが完備しており、レントゲン写真も大きく拡大する事により現在の状況をしっかりと確認して頂けます。
トリニティーコア&アニメソフト(治療動画説明ソフト)を使用する事により、三次元的に治療手順など視覚的にも分かりやすく説明できます。様々な治療内容動画を用意しております。
【定期的院内勉強会の実施】
当医院では患者様に提供させて頂いております医療の見直しと、さらなる質の高い治療の追及をしていくにあたり、定期的に院内勉強会を実施し、スタッフ全員の知識の普及、向上を心がけております。
※当院からのお願い
予約診療の協力をお願いしております。
ご連絡のない遅刻
ご連絡のない無断キャンセル
の続く方が他の患者様の予約に支障をきたしております。また手術などの処置中などにより診察ができない場合や予定の治療が行えない場合が多々ありますのでご遠慮、ご理解いただきますようお願い申し上げます。
またご迷惑おかけしておりますが可能な限り来院時には
事前のご予約をお願いしております。ご予約のないご来院は
応急的な処置に限定される場合があるとともに予約の患者様優先の為
長時間お待ちいただく可能性があります事をご理解下さい。
当日来院される場合も同様、比較的スムーズな診察ができるお時間をご案内させて頂きますので、出来る限りご連絡頂き来院されますようご協力お願い申し上げます(待ち時間でることはご了承下さい。)
治療をお急ぎの方は大変申し訳ございませんが他の医療機関の受診もご検討下さい。